南宁专业的种植牙--南宁牙博士口腔望州南院-(国际连锁口腔)-精专美齿【官方网站】
热线 0771-3394117

牙博士口腔医院:首页 > 牙齿种植 > 南宁专业的种植牙 >
南宁专业的种植牙

 

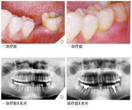
  种植牙不同于固定义齿和假牙,不仅患者在使用以及体验上不同。对于医生以及的要求也颇高。大家在选择种牙前,需要对的技术以及医生多做了解。美奥口腔在种植牙上经验丰富技术过硬,下面就来具体的介绍一下,我们的专业种牙过程,希望对大家有帮助。>>点击在线咨询详情<<

>>了解详情,点击在线咨询医生<<

专业种牙的全过程大公开:>>点击在线咨询详情<<

1、口腔检查:在种植牙手术前,医生会对患者的口腔做一次检查,对于口腔环境不符合标准的会配套实施相关的手术。>>点击在线咨询详情<<

2、制作种植牙手术导板:根据检查后的结果,病人骨骼条件设计种植方案,根据种植体位置,设计确定种植窝的模拟圆柱等几种方案。>>点击在线咨询详情<<

3、备制种植窝:按预先设计制作模板,根据牙槽骨的骨量选择适宜长度的种植体及相应的系列钻,制备适合种植体的种植窝。>>点击在线咨询详情<<

4、备制螺纹:改用慢速钻,同样用大量生理盐水冲洗降温,用丝锥制备种植窝骨壁上的螺纹。>>点击在线咨询详情<<

5、植入种植体:将种植体缓缓植入已备好的种植窝内并小心地用特制工具加力旋紧,使种植体顶缘与骨面相平。>>点击在线咨询详情<<

6、缝合创口:以便创口能尽快的愈合,让种植体与牙槽骨能跟好的融合。>>点击在线咨询详情<<

7、带上牙冠:种植钉与牙槽骨紧密愈合后,安装烤瓷牙冠后就完成了整个种植牙手术的全过程。综合来说,种植技术对于设备以及医生的专业技术的要求比较高,但是这也是保证种植修复效果的重要保障。>>点击在线咨询详情<<

  南宁牙博士引进的即刻种植技术,利用手术方式和技术来完成种植牙过程,一般种植体植入手术只需要十几分钟即可以完成。创伤小,术后即可进食,几乎没有痛苦。种植牙对人体没有什么影响,广大美牙人士可以放心选择.>>点击在线咨询详情<<

南宁牙博士看牙享援助,口福接力在行动:

1、牙齿种植:指定品牌种植体最高优惠4000元/颗(含基台牙冠)

适用于:单颗、多颗、半口/全口缺牙等患者

2、牙齿矫正:全隐形矫正直降3000元;

适用于:牙齿不齐、地包天、龅牙等患者

3、牙齿贴面:最高优惠1000元。

适用于:黄/黑牙,四环素牙、氟斑牙等

温馨提示:欢迎关注牙博士专家微信(db19930228)预约就诊,及时了解每月活动优惠和资讯!

    温馨提示PROMPT

    口腔问题不容忽视。点击在线咨询即可获得一对一的咨询服务,牙博士口腔牙科专家将对您提出的问题作出专业回答并保护您的隐私!

    选择牙博士的八大理由




 
扫一扫
把牙博士口腔
加为好友
牙博士口腔——全国连锁品牌。现已在全国数十个中心城市(北京、苏州、重庆、深圳、西安、厦门、哈尔滨、青岛、宁波、无锡、唐山等)开设数十家齿科连锁。自从牙博士入驻南宁以来,很快成为南宁知名的口腔连锁机构,一城六院(正恒院、江南院、望州南院、大沙田院、西乡塘院、青秀院),25个售后服务咨询机构,30000平米超大规模口腔连锁,给南宁市民带来了全新的齿科诊疗体验,为市民提供安全、科学和有效的齿科诊疗服务,深受城市民信赖。牙博士口腔连锁一直致力于为南宁市民提供舒适口腔诊疗服务。 【阅读详细】